МЕДИАГРУППА «ЗВЕЗДА»
Звезда плюс
Смарт ТВ
Смартфон
Еженедельник
Радио Звезда
Армейский стандарт
Главкино
МЕДИАГРУППА «ЗВЕЗДА»
Эфир
Программы
Фильмы
Новости
Эфир
Телепрограмма
Фильмы
Программы
Лица
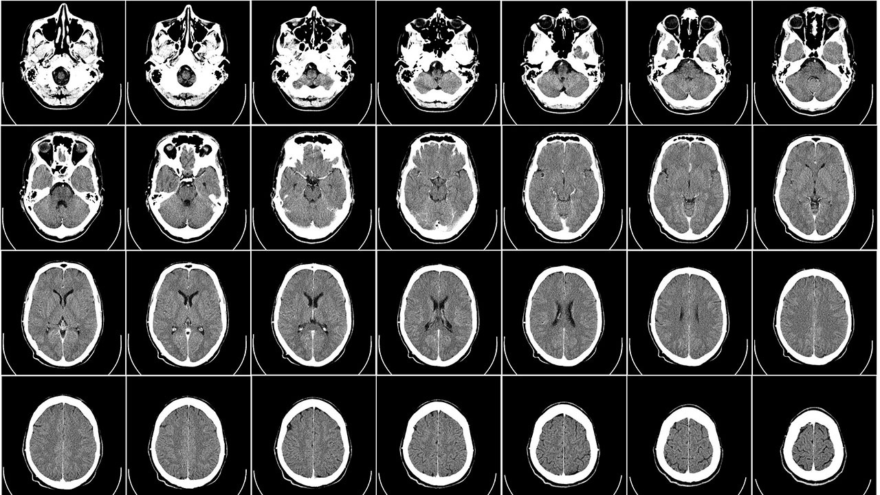
Врач перечислила причины забывчивости и рассеянности
Вспомнить о здоровье: о каких болезнях может говорить ухудшение памяти
Фильмы
Новости
Армия
ОПК
Вопросы истории
Общество
Спорт
Наука и техника
Экономика и бизнес
Телеканал
Прямой эфир
Программы
Программа передач
Фильмы онлайн
О телеканале
ЛИЦА
Лица телеканала
Помним наших коллег
О КОМПАНИИ
Медиахолдинг «Звезда»
Вакансии
Международный вокальный конкурс «Звезда»
Приложение для смартфона
Смарт ТВ приложение «Звезда»
Киностудия «Звезда»
Правовая информация
Лицензии
Социальная реклама
Контакты
Телеканал «Звезда Плюс»
О приеме телеканала «ЗВЕЗДА»
Показать контакты
© АО «ТРК ВС РФ «ЗВЕЗДА»
Главное
Новости
Видео
Поиск и меню